스킨부스터의 최강자 리쥬란힐러와 쥬베룩, 둘다 피부과에서 인기있는 시술입니다. 주사로 피부에 주입한다는 점은 같으나 구성 성분이 다르기에 피부에 작용하는 원리도 다르고 효과에도 차이가 있습니다. 둘다 인기있는 스킨부스터 시술이기에 두 시술 중 고민하는 분들이 많습니다. 직접 성형외과 원장님과 구체적으로 상담받아보고 꾸준히 제 얼굴에 맞아본 후기까지 상세하게 알려드리겠습니다.

[리쥬란힐러 vs 쥬베룩 비교 효과 분석]
✔리쥬란힐러
- 핵심기능: 피부새쟁
- 핵심성분: PN(Poly-nucleotide)
인체적합성이 높은 연어 DNA에서 폴리뉴클레오티드 PN 성분을 추출하여 피부에 주사로 주입시킵니다. 재생능력을 자극함으로써 전체적인 피부 외관 개선하여 안티에이징 주사로 손꼽습니다. 피부 노화와 손상된 상처 치유를 돕고 자연스럽게 주름을 개선시키는 효과를 가졌습니다. 피부 속건조를 개선시키며 잔주름과 탄력회복에 효과가 있는 피부장벽 강화 성분입니다.

리쥬란힐러의 부작용은 없습니다. 시술 당일 주사를 이용하기 때문에 홍조와 약간의 붓기가 나타날 수 있지만 24시간 이내에 사라집니다. 리쥬란은 인간의 DNA와 생물학적으로 호환되기 때문에 안전하고 필러의 얼굴모양이나 볼륨, 혹과 같은 부작용을 유발하지 않습니다.
✔쥬베룩
- 핵심기능: 콜라겐 합성 촉진
- 핵심성분: PLA (Poly Lactic Acid 폴리락틱액시드) + 히알루론산
전분에서 얻은 젖산(Lactic Acid)으로 PDLLA라고 불리는 고분자 PLA와 신체에 수분을 공급하는 히알루론산을 합친 성분을 피부에 주입하면 PLA 성분이 서서히 생분해되면서 자가콜라겐 생성을 돕습니다. 피부가 복원되면서 탄력을 증진시키고 자연스러운 볼륨이 생성되기에 쥬베룩은 자가 조직 재생 콜라겐 주사입니다. 스컬트라 제품과 성분이 거의 유사하고 쥬베룩이 스컬트라 입자보다 1/100 작은 크기입니다.

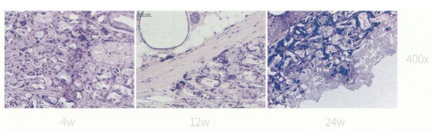
쥬베룩 주사 후 400배 확대한 피부 변화 모습입니다. 4주-12주-24주 시간이 걸리면서 콜라겐의 증식을 유도하고 시간에 지남에 따라 서서히 피부 내 콜라겐의 밀도가 증가하여 잔주름개선, 탄력개선에 도움을 주며 홍조, 기미와 같은 색소 개선에도 효과가 있습니다.
쥬베룩의 부작용은 없지만 주사로 주입하기 때문에 멍이나 붓기, 약간의 출혈이나 붉어짐이 있을 수 있습니다. 아주 드물게 알레르기 반응의 가능성이 있을 수 있지만 FDA의 허가를 받은 안정성이 입증된 성분입니다. 필러와 같은 외부물질을 주입해서 볼륨을 만드는 것이 아니라 피부 스스로가 콜라겐 생성되게끔 유도하는 제품이라 자연스러운 피부결 개선이 됩니다.

[리쥬란 VS 쥬베룩 비교]
| 구분 | 리쥬란힐러 | 쥬베룩 |
| 주요 성분 | Polynucleotide | PLA 85% + 히알루론산 15% |
| 주요 효과 | 피부재생, 탄력증가, 피부결개선, 모공개선, 유수분 밸런스 개선 | 콜라겐 생성유도, 미세주름 개선, 볼륨증가, 흉터개선 |
| 시술 횟수 | 2-3주 간격 3-4회 | 4주 간격 3회 |
| 주입층 | 피부 진피층 | 피부 진피층 |
| 효과 시기 | 약 3~5일후 | 약 4주후 |
| 유지기간 | 1회 시술 1개월 / 3회 시술 6개월 유지 | 1회 5개월 / 3회 시술 시 약 1년간 유지 |